Smile makeovers | Stockport Orthodontic Practice

Smile Makeovers

Have you spent years hiding your smile behind your hands? Do you avoid being in photos? Or have you become a master at smiling without showing your teeth or using gestures to distract people from looking at your mouth when you talk?

You’re not alone. We see a staggering number of patients who have wanted to change some aspect of their smile for most of their adult lives. Some even say that their feelings about their teeth are holding them back in some way.

We say enough is enough! Adult orthodontic treatment from Heaton Mersey Orthodontic Centre allows you to smile with pride and can completely makeover your smile. It may even change your life.

Organise Your Visit

Your Views

“2 years later, HMOC and Dr. Bhatti have given me the perfect smile, along with a new sense of confidence. Lovely people, excellent customer service and genuinely supportive before, during, and after my treatment! Forever grateful, I’d recommend HMOC to anyone and everyone!”

“I had clear aligners for 7 months and the treatment I received was fantastic. Very happy with my new smile! Dr Bhatti and his team were very welcoming and friendly. I would definitely recommend!”

“I can’t recommend Dr Bhatti and his team enough. They are a friendly team with lots of knowledge and nothing is too much. My results have been amazing with clear aligners, Thankyou!”

“Couldn’t recommend Dr Bhatti more highly. I had Clear Aligners at HMOC and couldn’t be more pleased with the result. Dr Bhatti is a perfectionist and was so helpful every step of the way. Thank you so much!”

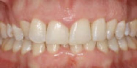
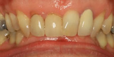
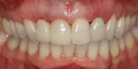
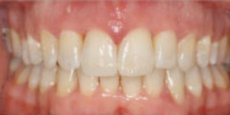
Smile Makeover Testimonial

Smile Makeovers in a Glance

Longevity

Permanent With Retainers

Price

Variable

Expected Results

Beautifully Straightened Smile

Treatment Time

Variable

Anaesthetic

None

Downtime

None

Frequently Asked Questions

What is a Smile Makeover at Heaton Mersey in Stockport, Manchester?

With smile makeovers, we look at how your teeth look at the moment – what are the alignment issues? Are there problems with your bite that need correcting? How do your teeth need to move to achieve the best harmony with the rest of your features and give your bite the best function? Do you need white fillings, veneers, crowns, clear braces, implants and/or tooth whitening to optimise the final result?

At our Stockport-based Orthodontic Practice, we look at every aspect of your smile and how your teeth currently bite together, as well as understand whether you have a deadline in mind, your budget, and any lifestyle factors that might influence which brace or aligner system you need, we can narrow down your choices and give you our expert recommendations.

How long does a Smile Makeover take at Heaton Mersey in Manchester?

At this stage, it’s hard to say how long your smile makeover would take as every case is different. Teeth straightening with systems such as Damon braces or Clear Aligners in Stockport can take between 12 and 24 months, especially if your case is more complex, while quick brace systems such as Six Month Smiles can complete some treatments in as little as six months.

When you come in for an initial consultation, we can give you a better idea of the timeline for your treatment.

Will people know I’m having a Smile Makeover?

At Heaton Mersey in Stockport, we have a fantastic choice of discreet adult orthodontic systems using clear fixed braces or removable aligners. Some of these systems are incredibly hard to spot and your treatment may go under the radar with most people that you meet.

You may also be interested in…

Related treatments at Heaton Mersey

To book a FREE consultation or to find out more about Smile Makeover at Heaton Mersey Orthodontic Centre in Stockport, Manchester. Fill out our contact form or contact our dental team by calling 0161 947 9900 / 9911 or send an email to info@hmorthoc.co.uk.

You may find this helpful…

Related Concerns

To book a FREE consultation or to find out more about Smile Makeover at Heaton Mersey Orthodontic Centre in Stockport, Manchester. Fill out our contact form or contact our dental team by calling 0161 947 9900 / 9911 or send an email to info@hmorthoc.co.uk.

Ready to smile again?

Hear From Our Smiling Patients

I couldn’t be happier with my son’s experience using Invisalign. From the very beginning, the process was smooth and straightforward. The aligners were comfortable to wear, nearly invisible, and e… Read More

Rebecca McHugh

Being a little bit uneasy about going to the dentist in general, it was important to me to have my orthodontic journey somewhere welcoming and reassuring. The staff at HMOC go above&beyond to make sur… Read More

Lottie Rose

I’ve just spent 2 and a half years having treatment here. My teeth needed a lot of work and the treatment I received was incredible. I was kept informed throughout, and felt cared for, the results a… Read More

Sam Hinckley

I had an amazing experience with Dr Tazeen Usmani and her team over the past 18 months while getting my teeth corrected. For the very first consultation they made me feel comfortable and confident abo… Read More

Julie Kennedy

Thank you to the whole team at heaton mersey orthodontic centre who have looked after me for the last 12 months, especially Dr Usmani. I couldn’t have asked for a better orthodontist, my teeth look … Read More

Amman Jauhar