Clear Aligners | Stockport Orthodontic Practice

Clear Aligners

Do you want straighter teeth, but without drawing attention to the fact that you’re having orthodontic treatment? Would you prefer to have a brace that’s removable so you can eat and drink as usual?

Clear aligners are hugely popular as they achieve fantastic results without most people you meet even realising that you’re wearing a brace. Their clear, discreet appearance makes them ideal for adults and teenagers in Manchester who don’t want their orthodontic treatment to impact on their lifestyle.

Clear aligners are removable

Clear aligners are removable, which also means that you don’t have to change what you eat because of your treatment, and you can clean and floss your teeth without having to work around fixed brackets and wires.

23+ Years of experience using clear aligners

Dr Bhatti is an experienced clear aligners provider in Manchester, Stockport, who has been using the system for over 23 years now. He has closely followed the research, development and changes in the system to the present day and is excited with the fantastic results clear aligners can now achieve.

Organise Your Visit

Your Views

“I can’t recommend Dr Bhatti and his team enough. They are a friendly team with lots of knowledge and nothing is too much. My results have been amazing with clear aligners, Thankyou!”

“Fantastic treatment at Heaton Mersey Orthodontist centre great service. Professional and very helpful got my teeth straightened with clear aligners now look so much better.
Thanks to Mr Bhatti and all the team.”

“I’ve just finished my clear aligners treatment, Dr Bhatti and his team were amazing, very professional and friendly at every visit. The results are great, I regret not visiting sooner.”

“I highly recommend HMOC for clear aligners treatment. The staff are friendly, helpful and professional. I’m very happy with the end result of my teeth. I definitely made the right choice going to HMOC.”

“Couldn’t recommend Dr Bhatti more highly. I had Clear Aligners at HMOC and couldn’t be more pleased with the result. Dr Bhatti is a perfectionist and was so helpful every step of the way. Thank you so much!”

“I had clear aligners for 7 months and the treatment I received was fantastic. Very happy with my new smile! Dr Bhatti and his team were very welcoming and friendly. I would definitely recommend!”

Clear aligners and Chewies
Georgie’s amazing clear aligners treatment
Lucy’s clear aligners treatment
Olympians, Jason and Laura Trott’s clear aligners journey
Kate’s clear aligners Treatment at Heaton Mersey Orthodontic Centre
Liam Broady UK’s tennis men’s No. 3 just completed clear aligners treatment
Colin gets his perfect smile for his big day at Heaton Mersey Orthodontic Centre
Dawn’s Orthodontic Treatment – Heaton Mersey Orthodontic Centre

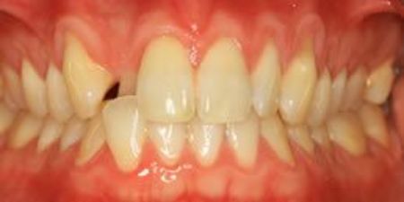
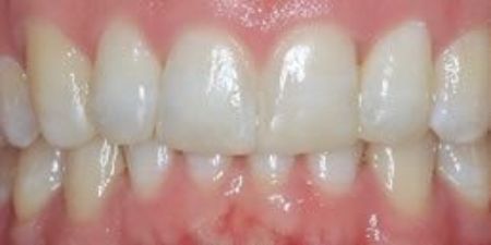
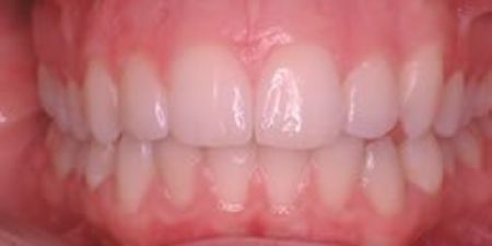
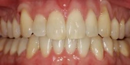
Clear Aligners in a Glance

Longevity

Permanent With Retainers

Price

Starts at £1,750

Expected Results

Beautifully Straightened Teeth

Treatment Time

Variable

Anaesthetic

None

Downtime

None

Frequently Asked Questions

What are Clear Aligners?

Clear aligners is a clear aligner system that offers a virtually invisible way to straighten your teeth and give you the smile you’ve always wanted. We use advanced 3D computer-imaging technology with Clear aligners to plot the movement of your teeth with each aligner – which you change approximately once every two weeks – and to show you what your smile should look like at the end of your treatment.

Clear aligners are custom-made for your teeth at our, Manchester practice, to move them little by little with each new aligner.

How do clear aligners work in Manchester?

Each unique clear aligner places carefully calculated forces on your teeth to encourage them to move towards their final position. Clear aligners not only controls the amount of movement but also when the movement happens, so different aligners might focus on different teeth at different stages in your treatment journey. This gives us an efficient and highly effective way to straighten your teeth.

How much does clear aligners cost?

Every case is unique, so the overall treatment price will depend on the number of clear aligners you need, among other factors. At Heaton Mersey Orthodontics, Stockport, we would recommend that you come in for an initial consultation to discuss whether clear aligners is the best option for you, and to get a breakdown of your treatment plan and associated costs, as well as information about financing your treatment.

The price for single arch clear aligners Lite starts from £2,900.

How often should I wear my clear aligners?

You should wear your clear aligners every day during your treatment for at least 22 hours a day. The only times you should remove your aligners are when you want to eat, drink something other than water, or clean your teeth. Although the aligners can be taken out for a special occasion, try to avoid skipping wear time as it can slow your treatment down or even allow your teeth to drift back towards their old position.

What do the aligners look like?

Clear aligners are made from a strong medical-grade thermoplastic material that is very clear and which makes the aligners hard to spot when they’re in your mouth. Because each aligner is custom-made for you, at our Manchester Orthodontic Centre, they will fit snugly over your teeth. Your friends and family really will need to get up close and personal to be able to see them!

How often will I need to attend appointments?

We will typically ask you to pop in for a check-up visit, at our Manchester-based practice, every six to eight weeks during your clear aligners treatment. We’ll give you a series of aligners to take away with you so that you can change them once a fortnight without needing to see us. Your check-up appointments will be much quicker than with fixed braces because we won’t need to make any adjustments to the aligners.

Check-ups are still very important because they enable us to check that your treatment is progressing as planned.

How long does clear aligners treatment take?

One of the many benefits of using clear aligners is that the aligners can be used to address a wide range of alignment issues. This also means that it’s impossible to predict the length of your treatment without seeing you in person. As a rough guide, minor alignment issues can be corrected, in Manchester, is as little as 14 to 28 weeks, whereas more complex cases may take 12 to 18 months.

Before your clear aligners treatment takes place, the 3D computer-imaging technology will help us pinpoint how many aligners you will need and how long your treatment should take.

Is clear aligners suitable for all ages?

Clear aligners treatment is appropriate for individuals across a broad age range, but it is essential to wait until all permanent adult teeth have fully developed. Consequently, clear aligners may not be suitable for those with remaining baby teeth. Typically, individuals can commence clear aligners treatment during their teenage years once most adult teeth have fully formed.

Will my diet be restricted during clear aligners treatment?

You can maintain your regular eating habits; nevertheless, we strongly advise adopting a nutritious diet and steering clear of highly acidic or teeth-staining foods and beverages. Simply remember to take out your clear aligners before meals.

Does clear aligners hurt?

Although your clear braces should not cause pain, you might encounter some discomfort, particularly when initially using a new set of aligners. This discomfort arises from the pressure applied to the teeth to effectively facilitate their realignment. Our Manchester experts will ensure the clear aligners process runs as smoothly as possible for you.

Will i have to remove my wisdom teeth to get clear aligners?

No, unless they are posing problems or jeopardising your oral health

What can clear aligners fix?

Clear aligners can fix problems such as crowded teeth, gaps between teeth, open bites, underbites, overbites and crossbites

You may also be interested in…

Related Treatments

To book a FREE consultation or to find out more about Clear Aligners at Heaton Mersey Orthodontic Centre in Stockport, Manchester. Fill out our contact form or contact our dental team by calling 0161 947 9900 / 9911 or send an email to info@hmorthoc.co.uk.

You may find this helpful…

Related Concerns

To book a FREE consultation or to find out more about Clear Aligners at Heaton Mersey Orthodontic Centre in Stockport, Manchester. Fill out our contact form or contact our dental team by calling 0161 947 9900 / 9911 or send an email to info@hmorthoc.co.uk.

Ready to smile again?

Hear From Our Smiling Patients

I couldn’t be happier with my son’s experience using Invisalign. From the very beginning, the process was smooth and straightforward. The aligners were comfortable to wear, nearly invisible, and e… Read More

Rebecca McHugh

Being a little bit uneasy about going to the dentist in general, it was important to me to have my orthodontic journey somewhere welcoming and reassuring. The staff at HMOC go above&beyond to make sur… Read More

Lottie Rose

I’ve just spent 2 and a half years having treatment here. My teeth needed a lot of work and the treatment I received was incredible. I was kept informed throughout, and felt cared for, the results a… Read More

Sam Hinckley

I had an amazing experience with Dr Tazeen Usmani and her team over the past 18 months while getting my teeth corrected. For the very first consultation they made me feel comfortable and confident abo… Read More

Julie Kennedy

Thank you to the whole team at heaton mersey orthodontic centre who have looked after me for the last 12 months, especially Dr Usmani. I couldn’t have asked for a better orthodontist, my teeth look … Read More

Amman Jauhar