If you’re looking for a more innovative straightening experience, the Damon brace system at Heaton Mersey Orthodontic Centre Stockport is the one for you.
Damon braces are passive self-ligating braces which means that we don’t need to use elastic on metal ties around each bracket.
Damon Braces uses light ‘high-technology’ archwires that can help to provide more efficient treatment.
Insignia Advanced Smile Design with Damon Braces:
For an even more discreet treatment option, you can choose to have clear Damon braces at Heaton Mersey Orthodontic Centre, Stockport.
At Heaton Mersey Orthodontic Centre, we’re proud to offer Damon Ultima, giving you the very best version of this trusted self-ligating brace system.
Organise Your Visit“My brother Jack and I would like to say a very, very big thank-you for all the work you have done to make our teeth look really brilliant. When I had my braces removed I couldn’t believe the difference to my teeth (I can’t stop smiling now and I’m not worried about showing off my teeth).”
“2 years later, HMOC and Dr. Bhatti have given me the perfect smile, along with a new sense of confidence. Lovely people, excellent customer service and genuinely supportive before, during, and after my treatment! Forever grateful, I’d recommend HMOC to anyone and everyone!”
Permanent With Retainers
Variable
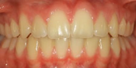
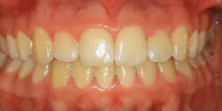
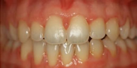
Beautifully Straightened Teeth
Variable
None
None
Unlike traditional braces, Damon self-ligating braces do not need elastic band ties to hold the arch wires in place. Instead, they use a window that closes over the high-technology wires, reducing friction and binding enormously as your teeth move into the new position.
They do provide exceptional results.
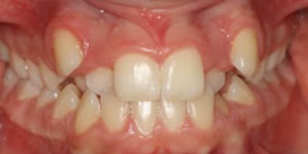
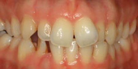
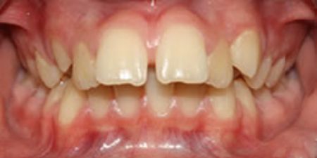
The length of your Damon Braces treatment will depend on your individual case. Read here to see if they are right for you!
Most people find Damon Clear Braces unproblematic. Damon braces use light forces applied by ‘shape memory’ copper nickel-titanium wires to move your teeth into place. while you may experience some minor discomfort when the braces are first attached or adjusted, it can sometimes take a while to get used to the braces. Some soreness of the teeth is normal and varies between people.
Absolutely. Damon braces are suitable for most orthodontic cases and should straighten your teeth easily and to a high-quality result. The materials used in these braces are far less bulky than in metal braces of the past, and you can even have clear brackets with Damon Clear if you would like a more discreet treatment option.
As we mentioned above, InsigniaTM is a new and innovative fully interactive software and custom appliance system that enables us to create Damon braces that are 100% customised to your mouth and how we need your teeth to move for the best results.
Using Insignia, we can create a virtual 3D model of your teeth now and of how you and we would like your teeth to look at the end of your treatment, so you know what to expect from the outset.
InsigniaTM Advanced Smile DesignTM offers a precise, start-to-finish process. We use brackets that are custom-made for each tooth and placed with computer-assisted precision, as well as custom wires.
We are excited by the results we have seen with InsigniaTM Advanced Smile DesignTM. It makes difficult and routine cases more manageable.
We understand that cost may well be a deciding factor in whether or not you have orthodontic treatment. Broadly speaking, treatment with Damon braces in Stockport begins at around £2,500 but every case is unique. Once we meet you for a consultation, we can look at the treatment you need, and how long we think it will take, then break down the costs and time frame into a written treatment plan to help you make an informed decision about whether you want to go ahead.
We offer interest-free payment options to help you spread the cost of your braces.
To book a FREE consultation or to find out more about Damon Braces at Heaton Mersey Orthodontic Centre in Stockport, Manchester. Fill out our contact form or contact our dental team by calling 0161 947 9900 / 9911 or send an email to info@hmorthoc.co.uk.
To book a FREE consultation or to find out more about Damon Braces at Heaton Mersey Orthodontic Centre in Stockport, Manchester. Fill out our contact form or contact our dental team by calling 0161 947 9900 / 9911 or send an email to info@hmorthoc.co.uk.
I couldn’t be happier with my son’s experience using Invisalign. From the very beginning, the process was smooth and straightforward. The aligners were comfortable to wear, nearly invisible, and e… Read More
Being a little bit uneasy about going to the dentist in general, it was important to me to have my orthodontic journey somewhere welcoming and reassuring. The staff at HMOC go above&beyond to make sur… Read More
I’ve just spent 2 and a half years having treatment here. My teeth needed a lot of work and the treatment I received was incredible. I was kept informed throughout, and felt cared for, the results a… Read More
I had an amazing experience with Dr Tazeen Usmani and her team over the past 18 months while getting my teeth corrected. For the very first consultation they made me feel comfortable and confident abo… Read More
Thank you to the whole team at heaton mersey orthodontic centre who have looked after me for the last 12 months, especially Dr Usmani. I couldn’t have asked for a better orthodontist, my teeth look … Read More